診療時間
・電話
・住所
診療時間 日・祝
9:00〜12:30
14:30〜18:00

診療時間の詳細はこちらをご確認ください。

0835-25-1060

山口県防府市新田1丁目7-1

0835-25-1060

名誉院長紹介

honorary director profile

防府整形・リウマチクリニック 名誉院長

藤森 十郎 Juhro FUJIMORI

経歴

日本医科大学卒業
Hospital for Special Surgery, 米国ニューヨーク市 留学
日本医科大学リウマチ科助教授
防府整形・リウマチクリニック開業

資格

医学博士(日本医科大学)
日本リウマチ学会 指導医・リウマチ専門医
日本整形外科学会 整形外科専門医・脊椎脊髄病医

所属学会

日本リウマチ学会
日本整形外科学会

その他

日本リウマチ実地医会世話人
日本リウマチ学会功労会員
日本臨床リウマチ学会功労会員

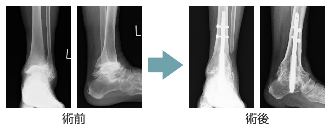
足関節固定釘の開発

 私が大学病院勤務時代には、足首の関節(足関節)が壊れて歩行困難になったリウマチ患者さんに対しては成績の良い手術法はありませんでした。これを何とか解決しなければとの思いから足関節固定釘を考案致しました。この手術法は大変良好な成績が得られることから日本全国に普及し、現在まで全国で約5,600例に使用されてきました。関節リウマチに対する薬物治療の進歩により足関節の手術件数も減少してきていますが、それでも昨年も100例程に使用されていて、リウマチ患者さんのお役に立っています。

院長紹介

director profile

防府整形・リウマチクリニック 院長

中島 大介 Daisuke NAKASHIMA

経歴

山口大学医学部卒業
山口大学医学部大学院卒業
国立病院機構関門医療センター
済生会下関総合病院 整形外科
島根県立中央病院 整形外科
周南記念病院 整形外科
山口大学医学部附属病院 整形外科
セントヒル病院 整形外科

資格

医学博士(山口大学)
日本整形外科学会 整形外科専門医・リウマチ医・脊椎脊髄病医・運動器リハビリテーション医
日本リウマチ学会 専門医
日本骨粗鬆症学会 認定医
日本リウマチ財団 登録医

所属学会

日本リウマチ学会
日本整形外科学会
日本骨粗鬆症学会